Comprendre l’acné
L’acné est l’une des affections dermatologiques les plus fréquentes : elle touche la majorité des adolescents et un nombre non négligeable d’adultes. Elle débute le plus souvent vers 12–13 ans, s’atténue progressivement et disparaît le plus souvent autour de 20 ans.
Cette pathologie est liée à une dysrégulation des glandes sébacées du derme, normalement chargées de produire le sébum. Sous l’influence des androgènes à partir de la puberté, la production sébacée augmente. L’excès de sébum s’accumule dans le follicule pilosébacé, favorisant la formation de comédons (points noirs), microkystes et papulo-pustules.
L’hyperséborrhée rend la peau plus grasse (visage, décolleté, dos) et s’accompagne fréquemment de pellicules au niveau du cuir chevelu.
À retenir
- L’acné résulte d’une hypersécrétion sébacée stimulée par les androgènes.
- Les lésions élémentaires incluent comédons, microkystes et papulo-pustules.
- Atteinte préférentielle : visage, dos, décolleté ; pellicules fréquentes.
Les traitements habituels de l’acné
La prise en charge associe mesures d’hygiène et traitements médicaux adaptés à la sévérité :
- Règles hygiénodiététiques : éviter le tabac ; alimentation variée, limiter sucres rapides et graisses ; préférer des cosmétiques non comédogènes (éviter maquillage occlusif et crèmes trop grasses).
- Traitements locaux : peroxyde de benzoyle, crèmes/gels rétinoïdes.
- Traitements oraux : antibiotiques ou isotrétinoïne (Roaccutane®) selon les formes.
- Chez la femme : modulation hormonale (pilule contraceptive, spironolactone) si acné à composante androgénique.
Schéma : Tableau récapitulatif des lésions élémentaires de la peau acnéique.

À retenir
- Approche graduée : hygiène de vie → topiques → systémiques → ± hormonothérapie.
- Adapter la stratégie à la sévérité et au retentissement.
- Cosmétique non comédogène indispensable.
Innovation thérapeutique majeure dans l’acné : le laser Aviclear
Depuis 2024, le laser Aviclear propose une avancée déterminante. Sa longueur d’onde 1726 nm est absorbée par le sébum (et non par l’eau), permettant un ciblage sélectif et sécurisé des glandes sébacées hyperactives.
Un protocole de trois séances sur 2–3 mois permet de réguler la production sébacée et d’obtenir une régression progressive des comédons, microkystes, papules et pustules. Le traitement n’entraîne pas d’éviction sociale et est adapté à tous les phototypes.
Schéma : Coupe histologique centrée sur la glande sébacée (ciblage Aviclear).

À retenir
- 1726 nm : ciblage du sébum → action directe sur la glande sébacée.
- 3 séances : normalisation sébacée, diminution des lésions.
- Pas d’éviction sociale, tous phototypes.
- Tarif indicatif : ~780 € la séance visage, 3 séances à un mois d’intervalle ; non remboursé par la Sécurité sociale.
- Indication privilégiée : acnés résistantes et persistantes, notamment en échec de Roaccutane® ou d’autres traitements classiques. Efficacité durable.
L’acné et le traitement des cicatrices par laser fractionné
Lorsque l’acné persiste malgré les traitements (topiques, antibiotiques, hormonothérapie, isotrétinoïne), des cicatrices définitives peuvent apparaître, surtout au niveau des tempes, des joues et du menton.
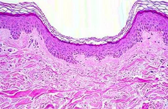
Schéma : Coupe histologique d’une cicatrice atrophique d’acné.

Les phénotypes les plus fréquents sont les cicatrices atrophiques en creux (formes en U, quadrangulaires ou en pic à glace). Plus rarement, on observe des cicatrices chéloïdes épaisses et surélevées, plutôt sur le tronc et chez les peaux métissées à foncées.
Important : manipuler les lésions et laisser évoluer une acné non contrôlée majorent nombre et profondeur des cicatrices.
Lorsque l’acné est guérie ou contrôlée depuis plusieurs mois (traitements classiques ou Aviclear), on propose un laser fractionné pour atténuer le relief et améliorer l’homogénéité cutanée.
Le Fraxel (non ablatif) n’agit pas sur l’acné active ; il cible les séquelles. À l’inverse, Aviclear traite l’acné active et prévient de nouvelles cicatrices mais n’améliore pas celles déjà formées.
Les lasers fractionnés (ablatifs CO2 ou non ablatifs Fraxel) délivrent des faisceaux qui pénètrent jusqu’au derme, induisant des micro-lésions thermiques. Celles-ci déclenchent un processus de cicatrisation : stimulation fibroblastique, néocollagénèse, remodelage dermique, avec comblement progressif des dépressions.
Schéma : Représentation des colonnes thermiques dermiques induites par les lasers fractionnés.

À retenir
- Acné active d’abord : traiter et stabiliser (Aviclear).
- Séquelles ensuite : remodelage par lasers fractionnés (Fraxel / CO2).
- Objectif réaliste : amélioration partielle mais significative de texture et de relief.
- Pratique & coûts : 4–6 séances espacées d’~1 mois, selon la surface ; 400–800 € la séance. Les résultats apparaissent progressivement sur plusieurs mois. L’amélioration est constante mais le plus souvent partielle.
Représentation de l’action des lasers fractionnés
Sous l’effet des lasers (souvent combinés), la peau devient plus lisse, plus dense et plus homogène ; le nombre et la profondeur des cicatrices diminuent.
À retenir
- Les lasers fractionnés induisent une réparation dermique en profondeur.
- Fraxel = non ablatif, suites courtes, résultats graduels.
- CO2 fractionné = ablatif, plus puissant, suites plus longues.